2025-11-14
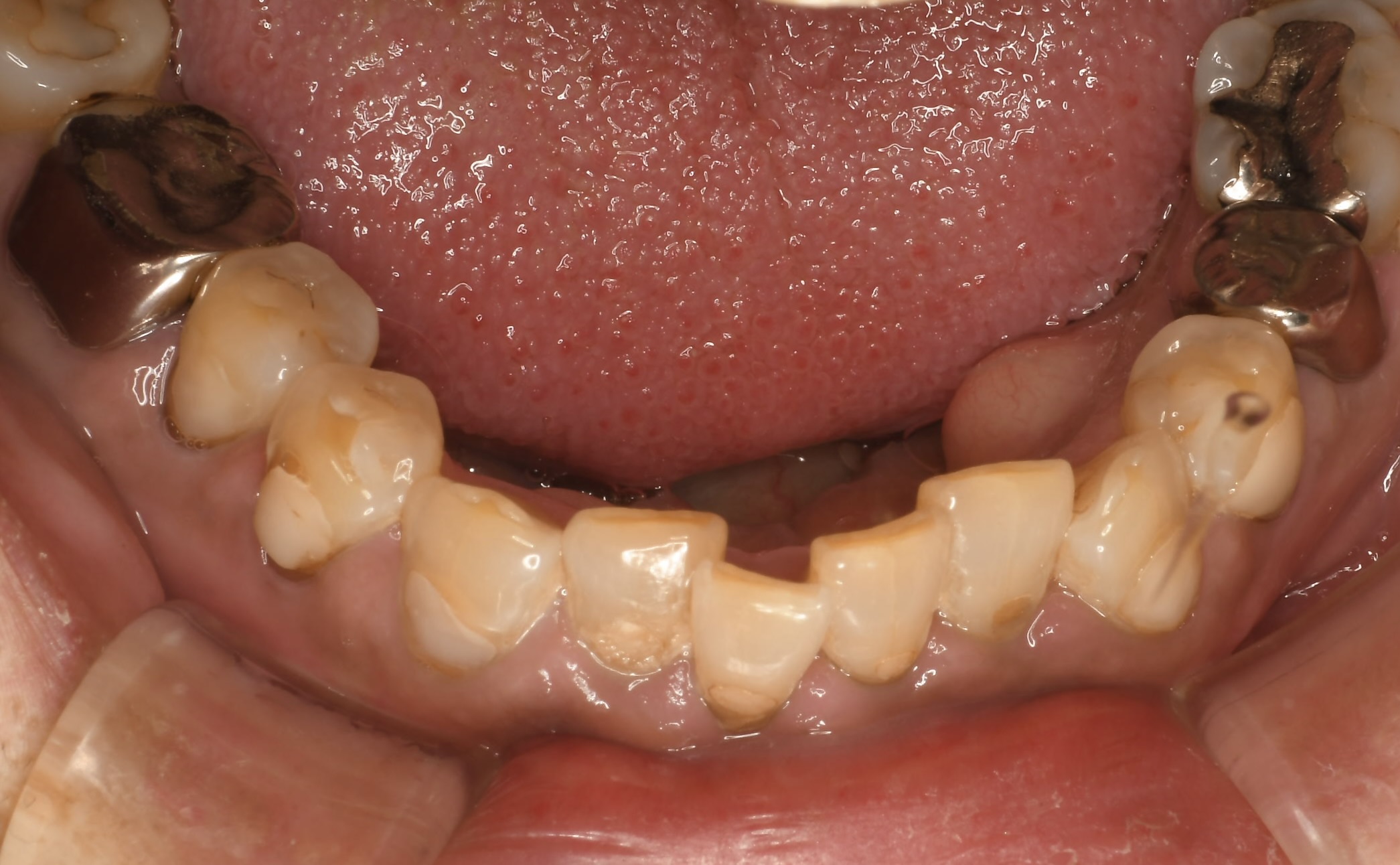
上下にあるむし歯が大きく、かつ膿んでいる
症例
治療前
治療後
| 主訴 | 左上6、左下5 カリエスが大きく、かつ膿んでいる |
|---|---|
| 治療内容 | インプラント治療 左上6、左下5 2本埋入 |
| 治療期間 | 約8ヶ月 |
| 費用 | 約110万 |
| 治療のリスク |
