menu
implant treatment
other
医療法人a-liveの症例ブログです。インプラントをはじめ、根管治療や歯周病治療の症例を掲載しています。
2025年11月17日
2025年11月14日
2025年7月18日
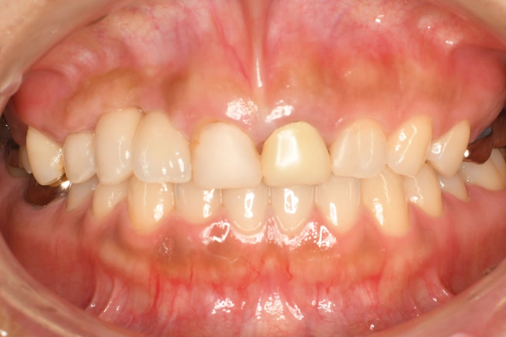
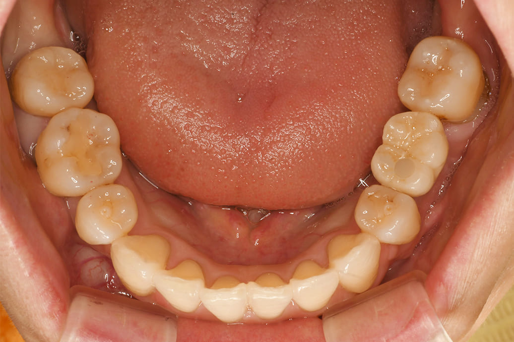
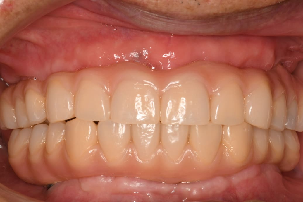
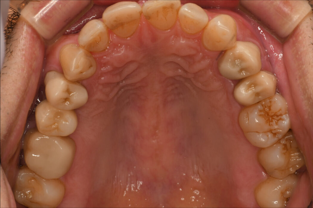
インプラント治療の症例
2025年7月17日
医療法人a-liveでは、インプラントを通じて「しっかり噛める未来」を支える治療を行い、トータルなお口の健康維持を目指しています。ご相談だけでも安心してお越しください。
無料相談はこちらから