• HOME
  • 欠損した箇所を治し、噛めるようになりたい

著者:

欠損した箇所を治し、噛めるようになりたい

症例

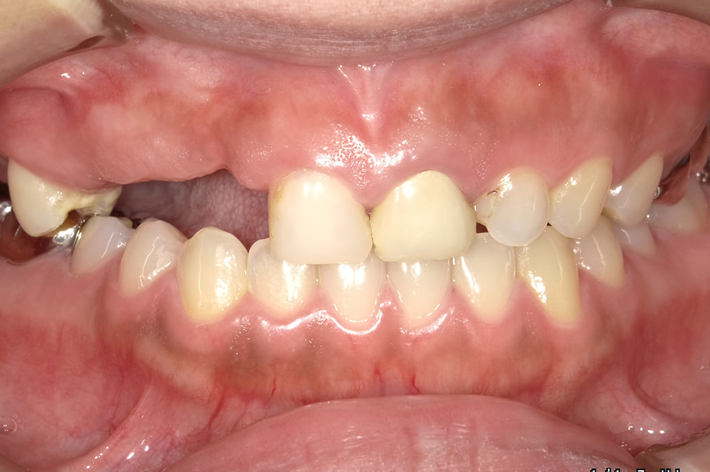
治療前

治療後

主訴 欠損した箇所を治し、噛めるようになりたい
治療内容 インプラント治療 4本埋入
治療期間 約1年
費用 約100万(税込)
治療のリスク オペ後1~2週間くらいの腫れや痛み、頬に内出血

関連記事

  • 関連記事はありません。
  • カテゴリ

    当医院について

    医療法人a-liveでは、インプラントを通じて「しっかり噛める未来」を支える治療を行い、トータルなお口の健康維持を目指しています。ご相談だけでも安心してお越しください。

    無料相談は
    こちらから

    今すぐ相談してみる